Репост: 63 минуты фибрилляции желудочков с последующим шоком. Что происходит?
Это сообщение было опубликовано 19 сентября 2014 года, и я снова хочу в это погрузиться. Это очень поучительно, поэтому я сделал репост.Оригинал: Repost: 63 minutes of ventricular fibrillation, followed by shock. What is going on? Сообщение от 2014 г - Prolonged (63 minutes) Ventricular Fibrillation, Followed by Shock. What's going on?
Пациент среднего возраста поступил с продолжающейся фибрилляцией желудочков после 5 минут остановки и 45 минут догоспитальной реанимации медиками с использованием King Airway, LUCAS, порогового дыхательного устройства (ITD, ResQPod), 4-х кратной дефибрилляции и адреналина x 3 через внутрикостно. Пациент продолжал глотать и дышать во время реанимации (предполагая эффективные компрессий грудной клетки).
На тот момент анамнез оставался неизвестным.
В отделении мы обнаружили, что с приспособлением King Airway вентиляция была эффективной. Компрессии LUCAS'ом были продолжены, а парциальное давление углекислого газа в конце выдоха составило 26 мм рт. ст. (подтверждая, что компрессия грудной клетки была эффективной, и подтверждая возможность хорошего неврологического прогноза).
Следя за индикатором на ITD мы медленно проводили вентиляцию со скоростью 10 в минуту. После 300 мг амиодарона, 100 мг лидокаина и 500 мкг/кг эсмолола болюсно + 50 мкг/кг/мин капельно, а также дополнительного количества адреналина, бикарбоната и повторной дефибрилляции, проверка ритма через 18 минут после поступления показала организованный, в основном с узкими комплексами, но медленный ритм. Пульс не ощущался. Прикроватное УЗИ сердца, субкостальным доступом показало следующее:
Я интерпретировал это как гипертрофическую кардиомиопатию (ГКМП), но с большим подозрением отнесся к ГКМП как возможной причине остановки поскольку, как известно, ГКМП приводит к фибрилляции желудочков.
Я поместил сосудистый датчик с допплером на правую сонную артерию и он показал хороший кровоток в сонной артерии, соответствующий сердечным толчкам.
Мы не стали продолжать компрессии грудной клетки.
Записали ЭКГ:
Первые 5 секунд демонстрируют нерегулярную тахикардию с широкими комплексами и полиморфными QRS. Однако, есть много комплексов, которые явно узкие, но кажутся широкими только из-за смещения сегмента ST. Это лучше всего видно в отведении II внизу.
Следующие 5 секунд демонстрируют нерегулярно нерегулярную полиморфную тахикардию с широкими комплексами. Это напоминает Фибрилляцию предсердий при WPW, за исключением того, что частота не такая высокая, как это обычно наблюдается при такой ФП.
Нередко сразу после реанимации мы видим очень причудливые ЭКГ, особенно если есть подозрения на кардиомиопатию.
Продолжение
У пациента сохранялась выраженная гипотензия. Из-за очень малого объема ЛЖ и необходимости объемной нагрузки у пациентов с гипертрофированными желудочками и щелевидным ЛЖ, мы начали нагрузку объемом.Через 5 минут после первой мы записали еще одну ЭКГ:
Сохраняется неопределенный наджелудочковый ритм, синусовый vs ускоренный АВ-узловой, с узким QRS. Кажется, что есть дельта-волна. В V1-V3 и aVR имеется странная элевация ST, которая совсем не похожа на ИМпST.
V2 и V3 напоминают признак «Кайзеровского шлема».
Я высказался, что это не был ИМпST, и мы не стали договариваться об экстренной ангиографии.
Поскольку у пациента был брадикардия и гипотензия, мы дали пациенту болюсом дозу адреналина, и начали капельно вводить норадреналин. Эсмолол был остановлен. Введение жидкости было продолжено. АД и пульс повысились.
РН венозной крови составлял 7,16, рСО2 48, бикарбонат 17, а лактат 6,8. К+ = 3,6 ммоль/л.
Мы убрали King Airway и интубировали его эндотрахеально. Еще через 20 минут была зарегистрирована третья ЭКГ:
Сейчас явно имеется синусовая тахикардия. Есть неполная БПНПГ. В V1-V3 наблюдается необычный подъем ST, который не похож на ИМпST.
Отведение V3 все еще напоминает «Шипастый шлем».
«Старых» медицинских материалов пока не было.
В этот момент пришел дежурный кардиолог, он узнал пациента и рассказал, что у него ГКМП. Кардиолог настаивал на экстренной ангиографии, поэтому мы созвонились с рентгеноперационной.
Пациент стал гемодинамически более стабильным. Мы еще раз провели прикроватное Эхо:
Вот парастернальный вид по длинной оси:
Комментарий: Эсмолол, бета-1-блокатор с периодом полувыведения 9 минут. Когда желудочковое наполнение крайне ограничено, как, например, при такойтяжелой гипертрофической кардиомиопатии, тахикардия может быть более пагубной, чем обычно. Кроме того, низкий конечный систолический объем может привести к затруднению оттока. Поэтому мы перезапустили эсмолол. Эсмолол является особенно хорошим выбором, потому что если гипотеза неверна (а тахикардия важна для сердечного выброса из-за низкого ударного объема), его введение можно прекратить, и его эффект быстро уменьшается из-за короткого периода полураспада.
Продолжение
Введение жидкости было остановлено, мы повторно ввели эсмолол болюсом и возобновили его инфузию. АД стало выглядеть лучше, около 130/80 с пульсом 90-120.Поскольку доступ к охлаждающему катетеру был затруднен, было решено отложить целевое регулирование температуры до выполнения ангиограммы.
Незадолго до перевода в в рентгеноперационную мы записали следующую ЭКГ:
Пациент был опознан и мы нашли его медицинские записи:
Выяснилось, что у пациента в анамнезе были ГКМП и WPW, а также тяжелый эмболический ишемический инсульт из-за пароксизмальной фибрилляции предсердий с геморрагической трансформацией. Из-за опасности кровотечения, а также из-за того, что врач не верил, что у пациента был острый коронарный синдром, мы не давали ни аспирин, ни плавикс, ни гепарин. Также считалось, что все это было вызвано кровоизлиянием в мозг, которое вызвало стресс-кардиомиопатию. Поэтому до ангиографии ему выполнили компьютерную томографию головы.Никаких новых находок не было, только предыдущий ишемический инсульт (энцефаломаляция).
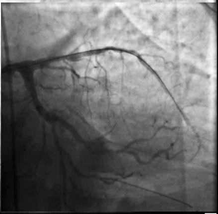
Ангиограмма показала нормальные коронарные артерии.
Пик тропонина I достиг 51 нг/мл (очень большой инфаркт типа 2 - этот уровень тропонина типичен для умеренно большого ИМпST - у большинства ИМбпST менее 10 нг/мл).
Стандартное эхо показало ГКМП без препятствий для оттока.
Пациенту была проведена гипотермия.
Через 72 часа у пациента не было никаких признаков пробуждения, но к 96 часам он периодически стал выполнять команды. На 7 день пациент «активно реагировал».
Баллы обучения
1. С превосходной техникой СЛР пациентов с фибрилляцией желудочков можно реанимировать даже после очень длительного периода остановки кровообращения. В этом случае, даже едва заполняемым левым желудочком, СЛР был достаточно эффективной, чтобы дать адекватную перфузию. Хорошие компрессии грудной клетки, с правильной частотой (не более и не менее 100) и глубиной (не менее 5 см или 2 дюйма), декомпрессией, ITD (ResQPod), медленной вентиляцией (10 в мин), являются одними из многих вмешательств в критических ситуациях, которые могут привести к успешной реанимации. Независимо от того, является ли это делом случая или нет в этом случае, у нас были хорошие показатели конверсии ФЖ при назначении эсмолола. После первоначальной публикации доктора Брайана Драйвера и Смита (я) об эсмололе при фибрилляции желудочков появилось и множество других сообщений.2. Не каждая сердечная недостаточность, даже при патологическом подъеме ST, обусловлена ИМпST. Кардиомиопатии в сочетании с остановкой сердца могут привести к причудливым ЭКГ. Стресс-кардиомиопатия может вызвать ФЖ и элевацию ST, также могут выявляться другие паттерны псевдоИМпST, но не связанные с ФЖ.
3. ЭКГ сразу после дефибрилляции могут быть очень странными. Подождите несколько минут и запишите еще одну, прежде чем делать какие-либо выводы.
4. Ультразвуковое исследование у постели больного чрезвычайно ценно при остановке сердца, как для оценки функции сердца, так и для оценки кровотока в сонной артерии. Мы регулярно используем чреспищеводное эхо (TEE) при всех остановках сердца в течение последних 3 лет.
5. Пульс может отсутствовать даже при хорошей перфузии через сонную артерию. Используйте ультразвуковое допплерографическое исследование сонной артерии для оценки сонной артерии. Насколько мне известно, по этому вопросу нет хорошей литературы. Также может быть использован монитор церебральной оксигенации.
6. Парциальное давление углекислого газа в конце выдоха (End Tidal CO2) - хороший показатель эффективности компрессии грудной клетки.
- По данным систематического обзора в Resuscitation 2013, значение менее 10 мм рт. ст. (1,33 кПа) связано с очень низким уровнем спонтанной циркуляции.
- В систематическом обзоре J Int Care Med 2014 среднее значение etCO2 у пациентов с возвратом спонтанного кровообращения (ROSC) составило 26 мм рт. ст. (3,5 кПа)
8. Когда у пациента с остановкой сердца в анамнезе «тромб» и он принимает варфарин, необходимо провести диагностику тромбоэмболии легочной артерии. Тем не менее, фибрилляция желудочков является необычным ритмом при легочной эмболии при поступлении:
- В этом исследовании 5% остановок с ФЖ было связано с ЛЭ: фибрилляция предсердий являлось исходным ритмом при ЛЭ в 3 из 60 случаев. С другой стороны, если ритм при поступлении медленный без пульса, тогда ЛЭ, конечно, вероятна. Когда при ЛЭ имеется ФЖ, это не начальный ритм, а возникший из-за того, что ЛЭ привела к тяжелой ишемии миокарда.
- Другое исследование, проведенное Кортни и Кляйном, показало, что в случаях остановки, которые пошли на вскрытие, и было установлено, что ритм при поступлении был ФЖ/ЖТ имелись отношения шансов 0,02 для массивной ЛЭ в качестве этиологии, по сравнению с 41,9 для беспульсового ритма.
Комментарий Кена Грауера, MD
Подыскивая интересные случаи различных сердечных ритмах я рассмотрел вышеупомянутую серию из 4 записей и обнаружил, что постоянно возвращаюсь к третьему пункту Баллов обучения доктора Смита, показанному выше = «ЭКГ сразу после дефибрилляции могут быть очень странными. Подождите несколько минут и запишите еще одну, прежде чем делать какие-либо выводы». Как бы я ни старался быть мотивированным, чтобы придумать какую-то новую, определенную интерпретацию ритмов из этого случая - этого не случилось. Вместо этого я просто добавил 9-й пункт обучения:- Примите к сведению, что у вашего пациента при реанимации может и не быть никакой простой интерпретации. В такой ситуации - будьте довольны главным. ФЖ и злокачественные ЖТ ритмы должны быть дефибриллированы. В отличие от этого - ритмы, подобные 2-й ЭКГ выше, не не нужно дефибриллировать, потому что, хотя на этой 2-й ЭКГ я многое не могу объяснить - ритм регулярный (~ 70 в мин) - отчетливо наджелудочковый при пристальном взгляде на запись (хотя зубцы Р и не видны).
- ПРИМЕЧАНИЕ: волны Осборна встречаются не только при переохлаждении. Их также можно встретить во время остановки сердца при ФЖ (см. Мой комментарий в сообщении от 25 ноября 2019 года - Вот это случай! Персистирующая фибрилляция желудочков, ЭКМО, ЧпЭХОКГ, восстановление гемодинамики, картина в виде «плавника акулы» на ЭКГ (также называемая «гигантским зубцом R»), постинфарктный регионарный перикардит). Я полагаю, что засечка, который мы видим в отведении V3 (и, возможно, в V2) на 2-й и 3-м ЭКГ выше, может быть волной Осборна, которые также могут способствовать причудливому виду ЭКГ.
- Наконец, последовательные записи, полученные во время реанимации (и, в идеале, поиск предварительной ЭКГ пациента для сравнения), могут иметь большое значение для составления единой картины. В этом случае, знание того, что у этого пациента с остановкой сердца в анамнезе была гипертрофическая кардиомиопатия и WPW, сыграло важную роль в прояснении некоторых изменений морфологии QRS. Например, синусовая тахикардия определенно видна на 3-й записи выше. Что касается этой 3-й, а затем 4-й пленок, которая записана за ней, то при рассмотрении этих двух ЭКГ подряд в качестве основного изменения выявляется новая начальная деформация/смазывание комплекса QRS в нескольких отведениях на 4-й ЭКГ, которой точно не было на ЭКГ № 3. Эту начальную размытость в нескольких отведениях теперь можно распознать как дельта-волну у этого пациента, у которого, как мы узнали, имеется WPW (хотя интервал PR не выглядит настолько уж коротким во многих отведениях, как это обычно бывает при WPW).
Я полностью согласен с доктором Смитом - что 2-я и 3-я ЭКГ, показанные выше, демонстрируют несколько отведений, показывающих признак «Шипастого шлема» (Кайзеровского шлема).
- Впервые описанный Литтманом в 2011 году (Letter to Mayo Clin Proc: 86 (12): 1245, 2011) - признак «Шипастого шлема» (Кайзеровского шлема) является довольно редкой и уникальной электрокардиографической находкой, которая встречается у пациентов с острым критическим заболеванием (таким как как длительная остановка сердца, как это произошло в данном случае). Признак обычно ассоциируется с высокой смертностью. В дополнение к обширному острому инфаркту миокарда, кардиомиопатии Такоцубо и остановке сердца - другие состояния, при которых встречается этот ЭКГ-симптом, включают внутричерепное кровоизлияние, сепсис, тяжелые нарушения обмена веществ. Несомненно, в этот список будут добавлены многие другие критические состояния, - так как признание этого важного признака ЭКГ становится все более распространенным.
- Как показано на вставке к рисунку 1, название этой морфологии «купол-шип» происходит от Pickelhaube, шипастого шлема, который в 19 и 20 веках носили прусские и немецкие солдаты, а также полицейские и пожарники. (Дословный перевод «Pickelhaube» с немецкого языка = «острие» или «выступ» для Pickel - и «колпак, крышка» для Haube).
- Как описали Crinion, Abdollah & Baranchuk (Circulation 141:2106 — June 23, 2020)- сегмент QRS-ST с признаком «Шипастого шлема» может содержать 3 специфических компонента; i) Некоторый подъем изолинии, который начинается перед комплексом QRS (т.е. составляет первую половину шлема); ii) затем резкий подъем зубца R (т. е. «шип» на шлеме); и наконец; iii) Выпуклый подъем ST различной степени, который может имитировать острую элевацию ST при ИМ (т. е., вторая половина шлема).
- Один, два или все 3 из этих компонентов можно увидеть в одном или нескольких отведениях на ЭКГ. Несмотря на то, что первоначальные сообщения ограничивали возможность обнаружения этого признака нижними отведениями, патология может повлиять на любое из 12 отведений ЭКГ!
- Предлагаемый механизм является довольно таки интересным, а именно, гиперадренергическое состояние с адренергически опосредованным удлинением реполяризации. Причина подъема изолинии, начинающейся перед комплексом QRS, может быть обусловлена сходной патофизиологией, которая наблюдается в условиях с выраженным удлинением QT (и/или QU), когда поздние и увеличенные T и U накладываются на начальную часть QRS. Характерны для состояний с избыточным содержанием эндогенных катехоламинов таких как синдром удлиненного интервала QT и кардиомиопатия Такоцубо и другие признаки, включающие Torsades de Pointes, альтернацию зубца T и псевдоинфарктную элевацию ST.
- ЖЕМЧУЖИНА. Как отмечалось выше, признак «Кайзеровского шлема» может вызывать подъем ST, который можно легко принять за острый инфаркт. Тем не менее, обычно можно отличить его от ИМпST, распознав восходящее смещение изоэлектрической линии, которое начинается до комплекса QRS и которое часто приближается к «уровню» с поднятого сегмента ST, наблюдаемого после QRS. Эта отличительная особенность лучше всего показана в ПУРПУРНОМ прямоугольнике на вставке с признаком «Кайзеровского шлема» из публикации Литтмана на рисунке 1. Дальнейшее подтверждение того, что паттерн подъема ST в виде «Шипастого шлема» не является результатом острого инфаркта, может быть получено по выявлению нетипичного распределения изменений сегмента QRS-ST на ЭКГ с 12 отведениями и отсутствия типичной эволюции изменений ЭКГ, наблюдаемой при истинном ИТмпST.
Возвращаясь к рисунку 1 - сочетание изменений ЭКГ может способствовать появлению необычной картины, которую мы здесь видим, особенно в передних грудных отведениях ЭКГ № 2 и ЭКГ № 3. Изменения включают:
- Признак Шипастого шлема в отведениях V2 и V3 ЭКГ №2 и в отведении V3 ЭКГ №3. Как я очертил КРАСНЫМ - все 3 компонента признака, как мне кажется, присутствуют в отведениях V2 и V3 ЭКГ №2. Как показано в ПУРПУРНОМ прямоугольнике - подъем изоэлектричной базовой линии до QRS больше не присутствует в отведении V3 ЭКГ № 3 (которая была записана через 20 минут после ЭКГ № 2).
- Имеются и другие факторы, потенциально способствующие усложнению интерпретации ЭКГ № 2 и № 3. Возможно, некоторые из элеваций ST, которые мы видим в отведении V1 ЭКГ №2, могут быть результатом фенокопии Бругада (которая является частой временной причиной ЭКГ-картины Бругада Тип 1 после остановки сердца). Как я упоминал выше, волны Осборна могут вызывать зубец в точке J у пациентов с остановкой сердца. Как мы узнали позже, у пациента в этом случае имелся WPW и 4-я ЭКГ, которая была записана (показано выше), действительно указывает вполне определенные дельта-волны. Какой подъем перед комплексом QRS на ЭКГ №2 можно отнести к дельта-волне по сравнению с начальным компонентом признака Шипастого шлема, неизвестно. Я подозреваю, что мы видим комбинацию этих двух изменений. И наконец - я подозреваю, что выпуклая элевация ST, которую мы видим во всех трех передних отведениях (V1, V2, V3) как на ЭКГ № 2, так и на ЭКГ № 3, по меньшей мере частично является результатом признака Шипастого шлема, который разрешился к ЭКГ № 3 (записана через 20 минут после ЭКГ № 2), и, по сути, исчез к тому времени, как была записана четвертая ЭКГ (показанная выше), что было сделано некоторое время после ЭКГ № 3 и непосредственно перед доставкой в рентгеноперационную.

































