Две догоспитальные ЭКГ пациентов с болью в груди
Авторы Пенделл Мейерс и Стив Смит: Two prehospital ECGs of patients with chest pain.
Вот два случая с мужчинами среднего возраста с болью в груди, которым на догоспитальном этапе была записана ЭКГ.
Пациент 1, ЭКГ 1:
Что вы думаете?
Пациент 2, ЭКГ 2:
Что вы думаете?
Интерпретация ЭКГ 1 Королевы Червей:
Интерпретация Королевы Червей на ЭКГ 2:
Интерпретация ЭКГ 1 (ИМО): Синусовый ритм, нормальный комплекс QRS, с легко диагностируемыми признаками, специфичными для трансмуральной ишемии и повреждения нижней и задней стенки, наиболее вероятной этиологией которого является острый ИМ вследствие коронарной окклюзии. Нижние зубцы Т острейшие, с реципрокными отрицательными острейшими зубцами Т в aVL. Задний ИМО определяется по депрессией ST максимальной в V2. Однако я не считаю, что в этом случае имеется достаточная элевация ST, чтобы соответствовать критериям ИМпST.
Интерпретация ЭКГ 2: (не ИМО): имеется элевация ST﹥1 мм в последовательных нижних отведениях (соответствует критериям ИМпST), без реципрокной депрессии ST в aVL. Имеется небольшая инверсия зубца T в aVL. Выраженная вогнутость сегментов ST. Зубцы Т НЕ острейшие, они не имеют выраженной «объемности», особенно по сравнению с хорошо сформированными зубцами R. Это НОРМАЛЬНАЯ ЭКГ.
Исход случая с ЭКГ 2: Врач скорой помощи диагностировал нижний ИМпST, и пациента пришлось доставить на вертолете в рентгеноперационную. Артерии были чистыми. ИМ не было. Это была обычная ЭКГ пациента. Это был ложноположительный результат. У пациента ИМ был исключен по серийным тропонинам. Боль в груди не была сердечной.
Случай 1, продолжение:
Время = 50 минут, в отделении неотложной помощи:
Теперь он также соответствует критериям ИМпST. Хотя отметок на ЭКГ нет, V5 и V6, скорее всего, являются задними отведениями.
Исходный hsTn I: 56 нг/л
Время = 80 минут
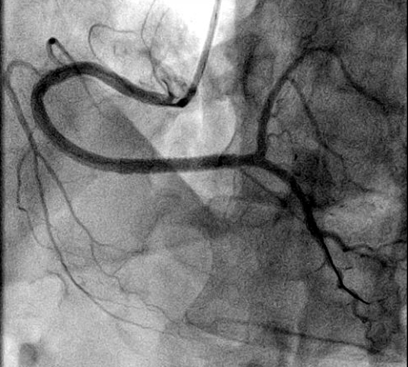
Ангиограмма:
Острая 100% (TIMI 0) окклюзия ПКА, выполнено ЧКВ
ЭКГ после ЧКВ:
На следующее утро:
Самостоятельно диагностирует нижнезаднюю реперфузию (глубоко инвертированные нижние зубцы Т и увеличенная амплитуда зубцов Т в V2, V3).
Смит: Почему зубцы Т в V2 и V3 увеличиваются при реперфузии задней стенки?
Если бы запись была на задней стенке, была бы инверсия зубца Т, но инверсия зубца Т при записи на передней стенки (противоположной) отражается положительными зубцами Т! Затем добавьте это положительное отклонение к уже положительным зубцам Т передней стенки и у вас очень большие передние зубцы Т!!
См. нашу статью здесь: Driver BE, Shroff GR, Smith SW. Posterior reperfusion T-waves: Wellens’ syndrome of the posterior wall. Emerg Med J [Internet]. 2017;34:119–123. Available from: http://dx.doi.org/10.1136/emermed-2016-205852
Тропонины высокой чувствительности (нг/л): 56
1 656
14 458
9 942
Эхо:
ЭФ 57%
Базальный и средний нижнебоковой гипокинез
Уроки:
1. Интерпретация эксперта или королевы червей в этом случае позволяет диагностировать ИМО на 50 минут раньше, чем критерии ИМпST. В нашей недавней внешней проверке средняя экономия времени по сравнению с критериями ИМпST составила около 3 часов.
2. Острейшие зубцы T теперь одобрены ACC как полный эквивалент ИМпST (хотя они не приводят каких-либо объективных критериев их диагностики).
3. Критерии ИМпST часто соблюдаются при отсутствии ИМО (ложноположительные результаты). В нашем догоспитальном исследовании 117 случаев критерии ИМпST диагностировали только в 70% из 48 истинных ИМО и имели 15 ложноположительных результатов.
Комментарий Кена Грауэра, доктора медицины
Сегодняшний случай доктора Мейерса представляет собой еще один пример острого ИМО, который при первоначальном обращении не соответствовал критериям ИМпST.
- Согласно подробному описанию доктора Мейерса, сегодняшняя первоначальная ЭКГ в сочетании с историей новой боли в груди позволяет легко диагностировать острый нижне-задний ИМО, требующий немедленной катетеризации с ЧКВ.
С качественной точки зрения — я добавлю данные, которые позволяют поставить диагноз ЭКГ на основе сегодняшней первоначальной записи в течение нескольких секунд. Для ясности — я обозначил эту первоначальную ЭКГ на рисунке 1.
- У пациента с новой болью в груди ST-T в КРАСНОМ прямоугольнике в отведении III сразу «бросаются в глаза». Учитывая небольшую амплитуду QRS в отведении III, гиперобъемный зубец Т в этом отведении (который полностью затмевает QRS) ни при каких условиях не может быть нормальным.
- Учитывая эту уверенность в том, что ST-T в отведении III являются острейшими (нет сомнений в том, что ST-T в СИНИХ прямоугольниках двух других нижних отведений (= отведения II и aVF)) также являются острейшими (очевидно, непропорциональными в отведение aVF, в котором он немного выше зубца R в этом отведении, а также имеет «толстую» вершину и широкое основание — с менее выраженным, но все же непропорциональной картиной ST-T в отведении II).
- Подтверждением того, что эти острейшие изменения ST-T в нижних отведениях действительно являются острейшими, является «волшебная» реципрокность - зеркальное отражение ST-T в противоположных отведениях III и отведением aVL, на что мы так часто намекаем, и что так характерно для острого нижнего ИМО.
Хотя оценка грудных отведений не является обязательной для того, чтобы знать, что показана острая катетеризация, она несет еще большее подтверждение.
- Как мы часто подчеркиваем, в норме наблюдается небольшая элевация ST с небольшим подъемом вверх в отведениях V2, V3. Потеря этого нормального вида ST-T у пациента с новой болью в груди предполагает острый задний ИМО, пока вы не докажете обратное.
- ЖЕМЧУЖИНА: Учитывая общее кровоснабжение у большинства пациентов с острым нижним ИМО вследствие окклюзии ПКА или ОА, я расцениваю обнаружение нарушений ST-T в отведениях V2, V3 и/или V4 у пациента с подозрением на нижний ИМО как убедительное подтверждение истинной окклюзии.
- Совершенно невозможно, чтобы форма ST-T в отведении V3 на рисунке 1 была «нормальной» у пациента с новой болью в груди (в КРАСНОМ прямоугольнике в этом отведении) — потому что сегмент ST в этом отведении плоский, а элевации ST нет.
- Зная, что ST-T в отведении V3 определенно ненормален у пациента с новой болью в груди, я немедленно обращаю внимание на ST-T в соседних отведениях V2 и V4, которые показаны внутри СИНИХ прямоугольников, где имеется распрямление ST с неглубокой, но аномальной инверсией Т в отведении V2 — и, в контексте явно аномального отведения V3 — аномальное уплощение сегмента ST в отведении V4.
ИТОГ: Описанный выше качественный подход должен позволить информированному клиницисту почти наверняка поставить диагноз острого нижнего и заднего ИМО в течение нескольких секунд!
- «Натренированный глаз» должен менее чем за 5 секунд понять, что у пациента с новой болью в груди ST-T внутри КРАСНЫХ прямоугольников на рисунке 1 почти наверняка указывают на острый нижне-задний ИМО.
- Зная это — «тренированному глазу» потребуется не более 15 дополнительных секунд, чтобы оценить ST-T внутри СИНИХ прямоугольников — и зная, что ваш ЭКГ-диагноз острого нижне-заднего ИМО абсолютно точен секунд — Вы в течение нескольких секунд подтвердите необходимость экстренной катетеризации с ЧКВ.
Рисунок 1: В сегодняшнем случае я разметил исходную ЭКГ из 1 случая.

















































