Вы диагностируете перикардит на свой страх (и риск пациента!)
Источник - аноним. Описано Стивом Смитом. Оригинал - см.
здесь.
40-летняя женщина с анамнезом гиперлипидемии и дополнительными факторами риска, включая курения, поступила с жалобой на боль в грудной клетке, которая иррадиировала в «обе подмышки» и в верхнюю часть спины. По информации врача "скорой", она «непрерывно ходила по квартире, держась за грудь».
Была записана 1-я ЭКГ:
Первая ЭКГ пациентки.
Имеется синусовый ритм. В II, III, AVF и V3-V6 наблюдается диффузная элевация ST. По идее, можно согласиться с компьютером и клиницистом, потому что имеется нижне-боковая элевация ST без какой-либо реципрокной депрессии ST. Хотя будет правильным считать, что
нижние ИМ приводят к депрессии ST в 99% случаев (Bischof and Smith), а нижне-боковая элевация ST является наиболее распространенной локализацией перикардита, тем не менее, элевация ST в V3 сопровождается «терминальной деформацией QRS (TQRSD)» (что является диагностическим признаком окклюзии ПМЖВ).
Комментарии Смита:
Реферат статьи:
Terminal QRS distortion not found in any ECG of Early Repolarization
TQRSD определяется как отсутствие как зубцов S, таки зубцов и J в отведениях V2 или V3. Хотя я продемонстрировал, что ранняя реполяризация никогда не приводит к таким нарушениям, которые являются общими для окклюзии ПМЖВ, никто никогда не изучал такие изменения при перикардите. Я очень подозреваю, что перикардит не дает таких изменений и никогда не предполагал, что это возможно. Когда я вижу такой признак, то считаю, что ЭКГ отражает окклюзию ПМЖВ, пока не будет доказано обратное.
Во-первых, настолько ясно, что это окклюзия ПМЖВ, что я бы просто направил пациентку на экстренную катетеризацию. Однако, если это невозможно по каким-либо причинам - немедленно выполните контрастное эхо. Если нет нарушений движения стенок ЛЖ, вы можете быть уверены, что это не окклюзия ПМЖВ.
Почему существует диффузная элевацияя ST (также в нижних отведениях?). Это почти наверняка связано с типом 3 («перегибающейся») ПМЖВ, которая кровоснабжает нижнюю стенку.
Что насчет использования формулы окклюзии ПМЖВ?
Эта формула была разработана для сравнения ранней реполяяризации с окклюзией ПМЖВ, поэтому она не может применяться в случаях дифференциального диагноза перикардита vs окклюзии ПМЖВ.
- Забудьте о диагностике перикардита в данном случае; он слишком редок, и слишком опасно диагностировать его вместо ИМ.
- Большая часть того, что на практике диагностируется как перикардит, в действительности является ранней реполяризацией.
- TQRSD является признаком очевидной окклюзии ПМЖВ. Такие случаи были исключены из исследования, которое выработало и подтвердило формулы, и поэтому, при выявлении TQRSD вы не должны полагаться на формулу. Просто диагностируйте окклюзию ПМЖВ!
Тем не менее, вот значения, формул если Вы решитесь их посчитать:
QTc = 431, STE60V3 = 2 мм, RAV4 = 5 мм, QRSV2 = 5 мм
3-х переменная: 26,2 (более 23,4 - окклюзия LAD)
4-х переменная: 22,4 (более 18,2 - окклюзия LAD)
Дальнейшее развитие ситуации
Чуть позже лаборатория дала уровень тропонина I, который составлял 2,67 нг/мл (довольно высокий).
Комментарий Смита: Если вы все еще каким-то образом убеждены в том, что эта ЭКГ отражает перикардит, тогда вы должны по крайней мере изменить свой диагноз на миоперикардит (потому что повышенный тропонин появляется при некрозе кардиомиоцитов), но у пациентов с элевацией ST из-за миокардита возникают нарушения движения стенок и повышенный тропонин, поэтому он обычно не может быть дифференцирован от ИМ без ангиограммы.
Была зарегистрирована еще одна ЭКГ:
Следующая ЭКГ.
Правда, что «нет значительных изменений»?
За прошедшие 3 часа в отведениях V3 и V4 появились новые зубцы Q-волны, а в V5 и V6 они углубились.
Пациентка был госпитализирована в кардиологическое отделение для лечения перикардита, где у нее в течение всей ночи возобновлялась боль в груди. В стационарной карте сообщалось, что у больной боль усиливалась, когда она лежала на спине и облегчалась при наклоне вперед. Не было отмечено предшествующих вирусных симптомов.
Следующая ЭКГ записана через 6 часов:
ЭКГ через 6 часов.
- Зубцы Q выражены еще больше, и теперь компьютер теперь это увидел.
- Кроме того, элевация ST уменьшилась в соответствии с динамикой инфаркта миокарда.
Итог и комментарий автора клинического случая:
«На следующее утро пациента осмотрел кардиолог. Повторенные TnI уже составили 19,20 нг/мл, а стандартное эхо показало: «Тяжелый гипокинез и акинез апикальной 1/3 передне-перегородочных сегментов с частичным истончением стенки в соответствии с верхушечно-переднеперегородочным ИМ».
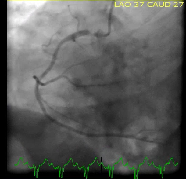
«Катетеризация выявила 100% окклюзию ПМЖВ, которая была успешно стентирована».
«После ЧКВ TnI достигли максимума в 67,10 нг/мл».
«Из вашего блога я знаю, что вы говорите, что «врач диагностирует перикардит на свой страх и риск», но есть ли какие-либо признаки на самой первой ЭКГ, которые заставили бы вас думать о ишемии? Никакой депрессии PR, нет признака Сподика, но имеется диффузная вогнутая (выпуклостью вниз) элевация ST... нет реципрокной депрессии ST (для меня aVL выглядит изоэлектрическим, что может быть аргументом в пользу небольшой депрессии?)».
«В клиническом контексте я бы выполнил прикроватное УЗИ, и если бы увидел региональный дискинез, диагноз был бы успешным, но при отсутствии аномалий движения стенок я решил, что первоначальная ЭКГ указывала на перикардит».
2 комментария:
1.
При 40-50% острых окклюзий ПМЖВ имеется вогнутый сегмент ST во всех отведениях из V2-V5.
-Smith SW. Upwardly Concave ST Segment Morphology Is Common in Acute Left Anterior Descending Coronary Artery Occlusion. Journal of Emergency Medicine 2006; 31(1):67-77.
2. 40-50% окклюзий ПМЖВ не дают никакой реципрокной депрессии ST.
-Walsh B. Grauer K. Smith SW. Proximal RCA occlusion producing anterior ST segment elevation, Q-waves, and T-wave inversion. Journal of Electrocardiology 2018.
Было ли отсутствие реципрокной депрессии ST в aVL причиной этой ошибки?
Может быть и так. Отсутствие депрессии ST в aVL необходимо учитывать только тогда, когда вы пытаетесь дифференцировать нижнюю элевацию ST при ИМ от перикардита. Если бы это был такой дифференциальный диагноз, тогда перикардит был бы разумным решением, и нужно было бы учитывать депрессию PR (нет), элевацию ST во II больше чем в III (имеется), признак Сподика (косонисходящий сегмент TP - насколько мне известно он никогда не был подтвержден как истинный признак перикардита), а также клинические факторы, такие как шум трения или выпот. Однако почти во всех случаях следует подтвердить отсутствие ИМО (ИМ вследствие окклюзии коронарной артерии), по крайней мере, при помощи Эхо с контрастом.
Отсутствие депрессии ST в aVL не должно использоваться для исключения переднего ИМ!
Положительный тропонин: эта находка превратила дифференциальный диагноз «ИМ vs перикардит» в «ИМ vs миокардит». Миокардит практически неотличим от ИМ. У этих пациентов могут быть ЭКГ, профили тропонина и данные эхо, идентичные острым ИМО. Если есть элевация ST, то для исключения ИМО пациенты почти всегда нуждаются в ангиографии.
Баллы обучения:
Очень опасно диагностировать перикардит, если нет убедительных доказательств в его пользу. Эта ЭКГ была диагностической для ИМО (а не перикардита). Даже если это была еще более неоднозначная ЭКГ, было бы оправданным более подробное обследование, поскольку ИМО является гораздо более распространенным явлением и его нельзя пропустить!
Заключительная мысль:
В свое время я отметил, что клиницисты любят «ставить» диагноз перикардита и, если они о нем подумали, то чтобы поддержать свой диагноз, будут использовать любые доказательства, независимо от того, насколько эти доказательства слабы. Я не знаю, почему существует такое пристрастие, и даже не знаю, откуда взялась такая предвзятость. Подтвердить предвзятое? Или подтвердить что-то? И почему они так хотят, чтобы это подтвердилось?
Комментарий Пенделла Мейера: при обучении интернов я предлагаю им подумать о перикардите (но не о миокардите или перикардите с перикардиальным выпотом) в качестве диагноза для фона, почти такого же уровня, что и «остеохондроз». Мне кажется, что единственная причина, по которой существует перикардит, заключается в том, что это некий трюк врачей неотложной помощи для того, чтобы не пропустить ИМО (реже ТЭЛА, диссекцию и т. д.). Как и остеохондроз или ГЭРБ, это диагноз, который никуда не ведет. Перикардит (без миокардита или перикардиального выпота) просто не имеет весомого значения в мире вещей. Лечение перикардита (почти всегда, не уменьшает перикардитическую боль лучше, чем плацебо или анальгетики или что-то еще) - это просто НПВП (применение которых может дать осложнения) или колхицин (который, по мнению некоторых токсикологов, никогда не следует использовать, учитывая поразительную смертность при его передозировке). Ничего хорошего не исходит из диагноза перикардита, но существуют огромные риски, о чем свидетельствует и этот случай и многие другие в моем блоге. Если вы правильно диагностируете 99 пациентов с перикардитом и неправильно диагностируете единственный ИМО как перикардит, вы терпите неудачу, потому что вред от пропущенного ИМ намного превышает значимый вред недиагностированного перикардита. Просто скажите «нет» диагностике перикардита, и проблема решена. Доктор Смит иногда риторически вопрошает, какой тип предвзятости является причиной того, что клиницисты так одержимы диагностикой перикардита. Я не уверен, что такая предвзятость была описана выше, но мне кажется, что это связано с тем, что вы «ставите» относительно редкий, и «интересный» диагноз. Поэтому, возможно, перикардит следует назвать «шикарными отвлекающими полосками зебры». Похоже, что реально возникает блестящий быстрый диагноз перикардита, отвлекающий нас от реальных чрезвычайных ситуаций.

Комментарий Кена Грауера:
Я бы добавил следующее:
- Необходимо еще раз сделать акцент на концепции терминальной деформации комплекса QRS д-ра Смита (ссылка на его статью приведена выше). Картинка стоит 1000 слов - и отведение V3 отлично иллюстрирует эту концепцию. Подобно визуальному распознаванию морфологии ЭКГ в виде Brugada-1 - морфология терминальной деформации QRS у пациента с новой болью в груди (как видно из отведении V3 на 1-й ЭКГ) является признаком, который должен быть запомнен всеми специалистами по неотложной помощи.
- Мне нравится цитата доктора Смита: «Вы диагностируете перикардит на свой страх и риск пациента». Я часто использую эту цитату, когда возникают вопросы, касающиеся этого диагноза. Но необходимо не только знание того, что острый перикардит - это диагноз исключения, клиницист должен также быть осведомлен о том, как возникает острый перикардит (в тех случаях, когда он возникает). Наиболее распространенная форма острого перикардита связана с недавней вирусной инфекцией - и характер боли в груди обычно позиционный (усиливается в положении лежа на спине) и плевритический (усиливается при глубоком вдохе). Хотя шум трения перикарда выявляется не всегда - его всегда следует внимательно прослушивать, потому что, если вы услышите шум трения в правильной клинической ситуации - тогда вы получите диагноз.