Нормальная ЭКГ по многим показателям. Реально нормальная?
Это было отправлено Хансом Хелсетом, который подает заявление в медицинскую школу и сейчас работает техником ЭКГ: Normal ECG by many measures. Is it normal?
Смит: Этот пациент лечился много лет назад, но обратился снова, когда Ханс работал. Он заглянул в историю болезни пациента, увидел эти ЭКГ и сразу понял, что они представляют собой едва заметный ИМО.
Также: см. отличные комментарии Кена Грауэра ниже.
Случай
68-летний мужчина с анамнезом гипертонии, гиперлипидемии и ИБС с установленным стентом в ПКА обратился в отделение неотложной помощи с болью в груди. Боль появилась всего за 20 минут до поступления, когда пациент обрезал ветки перед домом. Ему сразу записали ЭКГ.
ЭКГ №1, 16:46
Что вы думаете?
Смит: ЭКГ подозрительна для очень тонкого нижнего ИМО. В нижних отведениях имеется минимальная элевация ST, а также терминальная деформация комплексов QRS и некоторая реципрокная депрессия ST в aVL. Деформация конечной части QRS всегда является ненормальным в отведениях V2 и V3, но мы также обнаружили, что оно полезно и в других отведениях, хотя и не столь специфично. Хотя нормальный вариант элевации ST может иметь реципрокную депрессию в aVL
Хочу отметить, что Ханс это сразу увидел. Довольно впечатляюще для человека, который еще не посещал медицинскую школу и даже не работал медсестрой или фельдшером.
Вернемся к случаю
Традиционный компьютерный алгоритм (Marquette 12 SL) написал: «Нормальный синусовый ритм, нормальная ЭКГ». Эту интерпретацию подтвердил пересматривающий ЭКГ врач. Однако ЭКГ не нормальная. В нижних отведениях наблюдается выпрямление сегмента ST. Имеется отклонение изолинии в aVL, что затрудняет оценку реципрокных изменений, но за артефактом, в первом комплексе QRS в aVL видна вероятная депрессия ST. У пациента с новой болью в груди и множественными факторами сердечного риска эта ЭКГ очень подозрительна на нижний ИМО, хотя признаки чрезвычайно незначительны и запись должна быть повторена для устранения артефакта в aVL.
Королева червей для ЭКГ 1: с высокой степенью достоверности ИМО нет.
Первый тропонин Т 4-го поколения (URL 0,05 нг/мл) был взят в 16:50 и оказался ниже предела обнаружения. Больному был дан нитроглицерин, который частично облегчил боль. Его доставили в отделение неотложной помощи с повторяющейся болью, которая возникала несколько раз за время его пребывания. В конце концов была записана еще одна ЭКГ. Неясно, была ли в этот момент у пациента боль или нет.
ЭКГ №2, 21:22 (спустя 5 ч 30 мин)
Компьютерный алгоритм назвал и эту ЭКГ нормальной, и такая интерпретация была снова подтверждена врачом, который пересматривал данные, который не заметил никаких изменений по сравнению с ЭКГ 1. Однако, сравнивая с ЭКГ 1, зубцы Т в нижних отведениях стали вогнутыми. Если артерия пациента действительно была окклюзирована во время ЭКГ №1, то его артерия, скорее всего, в это время была открыта. Это изменение еще раз подтверждает диагноз ИМО.
Еще одна ЭКГ (12 отведений) была записана через 44 минуты после ЭКГ №2.
ЭКГ №3, 22:06
Несмотря на то, что депрессия ST в aVL чрезвычайно незначительна, она немного углубилась после ЭКГ №2. Эту ЭКГ снова назвали нормальной как компьютер, так и пересматривающий записи врач, хотя в контексте двух предыдущих записей это открытие предполагает повторную окклюзию виновной артерии.
Королева червей для ЭКГ №3: с высокой степенью достоверности не ИМО.
См. это сообщение, в котором первым признаком нижнего ИМО является депрессия ST, изолированная в отведениях I и aVL: (Некто 40 лет с болью в груди. Изменение ЭКГ проявляется только минимальной депрессией ST в I и aVL (компьютерная интерпретация: норма)).
И это сообщение, в котором инверсия зубца Т, изолированная в отведениях V2 и aVL, является единственным признаком нижнего ИМО: «Компьютер и врач говорят «нормально». Что думаете вы?»
Несмотря на неопределяемый тропонин и три «нормальные» ЭКГ, характер симптомов пациента и его положительный сердечный анамнез вызывали беспокойство по поводу ОКС. Таким образом, пациенту поставили капельницу с гепарином и на машине скорой помощи доставили в отделение, где можно провести катетеризацию сердца.
По пути в следующую больницу парамедики записали еще одну ЭКГ 12 отведений.
ЭКГ №4, 23:27
В V2-V5 зубцы Т начали уплощаться и начала развиваться депрессия ST. Зубцы Т в нижних отведениях снова становятся выпуклыми. Компьютерный алгоритм (Глазго) назвал это нормой, но это весьма наводит на мысль о нижнем и заднем ИМО. Это предполагает продолжающуюся окклюзию виновной артерии.
По прибытии в отделение катетеризации была записана еще одна ЭКГ.
ЭКГ №5. 00:28
Эта ЭКГ у пациента с новой болью в груди и множественными факторами риска, особенно после оценки предыдущих 4-х ЭКГ, имеет диагностические признаки нижнего и заднего ИМО. Зубцы Т в нижних отведениях снова утратили вогнутость. Депрессия ST в aVL горизонтальна, а зубец T слегка терминально положительный. Имеется небольшая депрессия ST в V3. Алгоритм Marquette 12 SL назвал эту ЭКГ нормальной, и, как и все предыдущие ЭКГ, эта интерпретация была подтверждена врачом, который пересматривает заключения.
Королева Червей для ЭКГ 5: Не ИМО со средней степенью достоверности; это означает, что она НЕ считает эту ЭКГ нормальной.
В 01:20 был взят повторный тропонин Т: 0,13 нг/мл (он повышен, и, таким образом, в этом контексте теперь появляется диагноз острого ИМ).
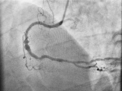
В 03:30, примерно через 11 часов после обращения, пациента доставили в рентгеноперационную:
99% окклюзия проксимального сегмента ПКА с потоком TIMI 2. На этом снимке с экрана видно небольшое количество контраста, затемняющего сосуд, дистальный от поражения.
После установки стента:
Сосуд теперь открыт с потоком TIMI 3, хотя он диффузно поражен, а средний сегмент расширен.
Левая вентрикулография выявила нижне-базальный гипокинез и ФВ 45%. Максимальный уровень тропонина достиг 0,4 нг/мл, что является относительно низким показателем для ИМО. Пациенту повезло: у него наблюдалась периодическая спонтанная реперфузия.
ЭКГ после катетеризации была записана в 07:19:
Компьютерная интерпретация гласила: «Синусовая брадикардия, в остальном нормальная ЭКГ».
Перечитавший врач подтвердил эту интерпретацию, добавив, что по сравнению с ЭКГ 5 «частота снизилась».
В то время как депрессия ST и инверсия зубца Т в aVL сохраняются, зубцы Т в нижних отведениях стали вогнутыми и немного уменьшились по размеру. Зубцы Т в передних отведениях снова положительные. Эти данные подтверждают нижнюю и заднюю реперфузию.
Каждые 12 отведений, зафиксированные у этого пациента во время его госпитализации, были признаны совершенно нормальными всеми общепринятыми компьютерными алгоритмами и лечащими врачами, занимавшимися лечением этого пациента. Только Королева Червей предупредила о любых опасениях по поводу ЭКГ!
Три года спустя пациент снова обратился в отделение неотложной помощи с болью в груди. Вот его ЭКГ в этот момент:
Теперь ЭКГ действительно нормальная! Во время этой госпитализации у него не было обнаружено ИМО.
Прогрессию в отведениях III и aVL можно оценить ниже:
Комментарий Смита: этот случай хорошо закончился. Были перемежающаяся боль и диагностическая ЭКГ. Как только был диагностический тропонин, при стойких болях показана катетеризация и больного взяли на катетеризацию.
Комментарий Кена Грауэра, доктора медицины:
Мне нравится этот пост Ханса Хелсета и доктора Смита — потому что это поднимает важный вопрос о том, как мы определяем ЭКГ как «нормальную»? В качестве ответа на этот непростой вопрос — перефразирую известную поговорку: «Красота в глазах смотрящего». Мой ответ следующий:
- Определение «нормальной» ЭКГ зависит от клинических обстоятельств, при которых записывается запись, и от человека, который интерпретирует запись.
Как подчеркнул Ханс Хелсет в своем стимулирующем обсуждении — несмотря на то, что первые 6 ЭКГ в сегодняшнем случае были выданы за «нормальные» как традиционной компьютерной интерпретацией, так и каждым из пересматривавших их врачей — ни одна из этих ЭКГ не была действительно «нормальной» по нашей интерпретации. !
- По моему опыту: Как человек, который на протяжении десятилетий изучал и преподавал «искусство» клинической интерпретации ЭКГ, я долгое время с интересом и любопытством наблюдал и рассматривал термин «нормальная запись», данный ЭКГ наших пациентов превосходными опытными кардиологами. Перефразируя еще одну известную поговорку: «Дьявол кроется в деталях». Реальность (в том, что касается интерпретации ЭКГ) кроется в деталях, и эти важные детали слишком часто игнорируются даже врачами, которым следовало бы знать это лучше.
- Подчеркну: определение «нормальная» ЭКГ — это не то же самое, что сказать, что имеются «неспецифические изменения ST-T, которые не кажутся острыми». И что тогда должно сопровождать это признание неспецифических изменений ST-T — это клиническая корреляция с обстоятельствами рассматриваемого случая.
- Например, идентичная ЭКГ, которая действительно «нормальна» у здорового, бессимптомного молодого человека (которому ЭКГ требовалась как часть обычного обследования), может у пожилого человека с впервые возникшей болью в груди, напоминающей сердечную, соответствующим образом повысить подозрение на возможный ранний ИМО из-за зубцов Т, которые кажутся больше, чем ожидалось, учитывая амплитуду комплекса QRS в исследуемых отведениях (в то время как идентичные на вид зубцы Т у здорового молодого человека по умолчанию явно представляют собой вариант реполяризации).
Применим эти принципы к сегодняшнему случаю. Неспособность многих врачей, пересматривающих компьютерное заключение, оценить тонкие изменения ЭКГ, выделенные выше Хансом Хелсетом, указывает на 3 важных недостатка в опыте этих врачей:
- i) Неспособность соотнести данные ЭКГ с клинической ситуацией (т. е. когда была записана каждая ЭКГ с учетом наличия, тяжести и продолжительности симптомов?).
- ii) Недостаточное понимание и понимание концепции «псевдонормализации» (при которой «на пути» от подъема ST при острой коронарной окклюзии — к эволюционному развитию реперфузионных изменений ST-T — ЭКГ может выглядеть почти «нормальный» в течение короткого периода времени) — и,
- iii) Очевидная неспособность сравнить серийные ЭКГ бок о бок на предмет потенциальной эволюции изменений ST-T (неоптимальная практика, которую мы показали в многочисленных публикациях, приводит к неспособности распознать тонкие, но реальные «динамические» изменения ST-T).
======================================
Для ясности на рисунке 1 я воспроизвел и совместил первые две ЭКГ в сегодняшнем случае.
- Взгляните еще раз на эти две записи на рисунке 1. Почему мы говорим, что ни одна из этих записей не является полностью «нормальной»?
- И почему мы говорим, что произошла какая-то эволюция?
Рисунок 1: В сегодняшнем случае я разметил начальную ЭКГ и первую повторную ЭКГ.
Почему сегодняшняя первоначальная ЭКГ не «нормальная»?
Я интерпретировал сегодняшнюю первоначальную ЭКГ как синусовый ритм — нормальные интервалы (PR/QRS/QTc) — нормальную ось — и отсутствие увеличения камер.
Что касается изменений Q-R-S-T на рисунке 1:
- Крошечный зубец Q в отведении III узкий и не имеет клинического значения.
- Прогрессия зубца R является приемлемой, хотя и немного резкой (быстрый переход к преобладающему зубцу R происходит между отведениями V2-V3).
Относительно изменений ST-T:
- Мой «взгляд» сразу же привлекла депрессия сегмента ST в отведении aVL (КРАСНАЯ стрелка внутри этого отведения на рисунке 1). Но почему сегмент ST во 2-м комплексе QRS в отведении aVL выглядит так по-другому? (КРАСНЫЙ вопросительный знак в этом отрывке).
- ЖЕМЧУЖИНА №1: Часто бывает трудно отличить артефакт и отклонение изолинии от истинной (потенциально ишемической) депрессии ST. Здесь может быть полезным наличие отведения с одновременно записанной длинной полосой ритма. Обратите внимание, что среди 10 комплексов, записанных в этой длинной полосе ритма V1, именно зубцы Т комплексов №5 и №7 выглядят наиболее деформированными наслоившимися артефактами. Это говорит о том, что ST-T этих двух комплексов в других отведениях, скорее всего, также будут искажены артефактами.
- В результате я сильно подозревал, что уплощенная и незначительная, но выраженная депрессия ST, наблюдаемая в 1-м комплексе в отведении aVL (соответствующая 4-му комплексу на этой записи), «настоящая».
- По той же причине я также подозревал, что выпуклый и слегка приподнятый сегмент ST для 2-го комплекса в отведении V1 (также выделенный КРАСНЫМ знаком вопроса) был искажен артефактом.
- ЖЕМЧУЖИНА № 2: Поскольку в соседних отведениях часто наблюдаются схожие аномалии, знание того, что в отведении aVL имеется едва выраженная, но четкая аномальная депрессия ST, побудило меня особенно внимательно присмотреться к внешнему виду сегмента ST в другом высоком боковом отведении = отведении I. Так я и сделал. — Я подозревал, что незначительное уплощение сегмента ST в отведении I, вероятно, имеет такое же значение, как и аномалия ST-T, которую мы видим в отведении aVL.
Подчеркну: это едва заметное уплощение ST-T в отведениях I и aVL, которое я заметил на ЭКГ №1, было единственным отклонением от того, что в противном случае соответствовало бы моему определению «нормальной» ЭКГ. Я воспринимал это уплощение ST-T в высоких боковых отведениях I и aVL как неспецифическую находку, которая в отдельности не выглядела бы острой.
- НО — Нам нужно сопоставить это незначительное изменение в этих двух соседних отведениях с клинической ситуацией — и этот пожилой мужчина с известной ишемической болезнью поступил в отделение неотложной помощи по поводу новой боли в груди, которая началась всего 20-ю минутами ранее. В этом клиническом контексте мы понятия не имеем, что может означать (если вообще что-либо) это неспецифическое изменение ST-T в этих двух высоких боковых отведениях.
- Без ранее записанной ЭКГ мы также понятия не имеем, могут ли быть дополнительные «новые» изменения по сравнению с обычными исходными данными этого пациента.
- ИТОГ: В клиническом контексте сегодняшнего случая эта первоначальная ЭКГ не является «нормальной» записью. Оно может отражать или не отражать ранние изменения вследствие нового острого события.
- Клиническая реальность такова, что мы не сможем узнать значимость (если таковая имеется) измененний на ЭКГ № 1 до тех пор, пока у нас не будет больше информации (т. е. повторение ЭКГ в течение не более 30 минут — оценка более одного тропонина, поскольку даже при ИМО исходный уровень hs-тропонина иногда может быть нормальным — и — необходимо тщательное наблюдение за симптомами и болью в груди у этого пациента).
Сравнение ЭКГ №1 и ЭКГ №2:
Ожидание более 4 часов до повторения ЭКГ этого пациента было явно ошибкой (т.е., учитывая, что у этого пациента боль в груди началась всего за 20 минут до его прибытия в отделение неотложной помощи - повторение ЭКГ в течение 10-20 минут с указанием наличия и относительной тяжести боли в груди на момент записи второй ЭКГ могла быть всем, что было необходимо для подтверждения острого развивающегося ИМО).
- Кроме того, у сегодняшнего пациента была боль в груди, которая «повторялась и разрешалась несколько раз» в течение более 4 часов с момента записи первоначальной ЭКГ до тех пор, пока ЭКГ не была повторена. Таким образом, была упущена «золотая возможность» поставить окончательный диагноз задолго до тех 11 часов, которые в конечном итоге потребовались, чтобы доставить этого пациента в рентгеноперационную.
В сегодняшнем случае врачи интерпретировали обе ЭКГ на рисунке 1 как «нормальные». Предполагается, что это означает, что лечащие врачи должны были подумать, что между ЭКГ № 1 и ЭКГ № 2 не было никаких изменений.
- Для меня это означает, что в данном случае лечащие врачи не сравнивали две записи на рисунке 1, просматривая их последовательно бок о бок, чтобы увидеть, есть ли какие-либо изменения.
В то время как изменения ST-T, которые произошли между моментами, когда были сделаны эти две записи, незначительны — у этого пожилого мужчины с известной ишемической болезнью сердца и новой болью в груди — нет ли реальных различий в отведениях aVL, V2, V3?
- Обратите внимание, что на ЭКГ №2 артефактов практически нет.
- Между двумя записями также нет изменений ни в оси фронтальной плоскости, ни в прогрессии зубца R, ни в морфологии QRS. Это означает, что сравнение отведений к отведениям для любых незначительных различий является допустимым.
- Отведение aVL — теперь показывает выпуклость сегмента ST и инверсию зубца Т, чего не было на ЭКГ №1.
- Отведения V2, V3 — теперь показывают уплощение сегмента ST и снижение амплитуды зубца Т. Таким образом, произошла утрата небольшой, плавной восходящей элевации ST в отведениях V2, V3, которую мы так часто выделяем как первый признак продолжающегося заднего ИМО.
- В контексте этих едва заметных, но реальных изменений в отведениях aVL, V2, V3 я подумал, что есть предположение о начале элевации ST с более острым на вид зубцом Т в каждом из нижних отведений.
- ИТОГ: ЭКГ №2 не является «нормальной» записью. Более того, у этого пожилого мужчины с известной ишемической болезнью сердца и новой болью в груди мы видим «динамические» изменения ST-T в 6 отведениях, что должно указывать на острый нижне-задний ИМО, пока не доказано обратное.
УРОКИ, которые необходимо усвоить:
- Клиническая электрокардиография требует, чтобы ЭКГ не должны быть интерпретированы без корреляции с клиническими обстоятельствами. Новая боль в груди, достаточно тяжелая, чтобы немедленно провести обследование в отделении неотложной помощи, возникшая у пожилого мужчины с известной ишемической болезнью сердца (как это произошло в сегодняшнем случае) — означает очень высокую вероятность того, что у пациента происходит острое событие — а это означает, что даже, казалось бы, незначительные отклонения на ЭКГ должны восприниматься как потенциально значимые, пока мы не докажем обратное.
- Количественная оценка относительной тяжести боли в груди во время записи каждой ЭКГ необходима для оптимального понимания изменений ЭКГ, которые мы ищем (числовая шкала от 1 до 10, вероятно, лучше всего подходит для документирования тяжести боли).
- Когда боль рецидивирует (как это, по-видимому, происходило неоднократно в сегодняшнем случае) необходимо сделать повторную ЭКГ.
- Внимание к деталям при сравнении последовательных ЭКГ в каждой паре отведений — ЛУЧШИЙ способ избежать ошибок в сегодняшнем случае, когда обе ЭКГ № 1 и ЭКГ № 2 были названы «нормальными» — «без изменений» между двумя записями.












Добрый день! А есть возможность у Вас проконсультироваться?! Куда к Вам можно обратиться и где записаться?!
ОтветитьУдалить