Проверьте себя: сколько времени пройдет между вашим диагнозом ИМ и положительными критериями ИМпST?
Автор Пенделл Мейерс, под редакцией Стива Смита (оригинал - см. здесь).У мужчины около 40 возникла прерывистая боль в груди / животе. За последние 2 дня у него произошло несколько таких эпизодов, в том числе один эпизод за несколько часов до поступления, который можно описать как тяжелый (8/10), в виде загрудинного «жжения», без иррадиации, сопровождающееся резкой потливостью, описываемое пациентом как «ощущение еды, застрявшей в горле ", но не связанное с приемом пищи, облегчающееся после рвоты и метеоризма, несколько стихающее лежа. Эпизод в день поступления был похожим, за исключением того, что появились дополнительные новые симптомы в виде «ощущения приливов к лицу» и «размытости зрения», что наконец побудило вызвать «скорую». В анамнезе - ИБС (ангиография два года назад показала 60% средний стеноз ПМЖВ и 60% 1-й диагональной КА), а также ранняя ИБС у нескольких близких родственников.
При осмотре в приемном он рассказал что его боль полностью разрешилась непосредственно перед приездом врачей.
Вот его первая ЭКГ, записанная в приемном (доступных предшествующих ЭКГ нет):
Первая ЭКГ: День 0, Время 0.
Я оценил ее как нормальную. Я не вижу никаких признаков ишемии, никаких доказательств ИМО (ИМ вследствие коронарной окклюзии).
Я бы не стал использовать формулу дифференциального диагноза тонкого переднего ИМ vs ранняя реполяризация, поскольку формулы не были предназначены для случаев без элевации ST (ранняя реполяризация, по другому называемая «нормальный вариант элевации ST», подразумевает наличие этой самой элевации ST).
Если бы я вел этого пациента, в тот момент я бы не решил бы, что это ИМ. Это подкрепляется отсутствием у больного боли в груди во время регистрации ЭКГ, что с высокой вероятностью означает, что изменения ЭКГ (если они присутствовали во время боли) разрешились. Я бы постарался получить любые доступные предшествующие ЭКГ и стал бы регистрировать серийные ЭКГ с интервалом в 30 мин все время его пребывания в отделении неотложной терапии и попросил бы его (и лучше всего в присутствии его жены или члены семьи), что чрезвычайно важно сообщить персоналу о ЛЮБЫХ появившихся симптомах. Я также немедленно записал бы ЭКГ если бы его дискомфорт повторился.
В неотложной терапии боли у пациента не было, первоначальный тропонин оказался ниже определяемого уровня и пациент был переведен в кардиологическое отделение.
Три последовательных тропонина (не высокой чувствительности) были ниже уровня выявления. На следующий день был назначен стресс-тест. Серийные ЭКГ не проводились.
Комментарий: Это ошибка. Пациент госпитализирован из-за дискомфорта возможно ишемического происхождения. Он наблюдается из-за подозрения в наличии ишемии миокарда. Дискомфорт разрешился, но когда дискомфорт повторяется, ЭКГ не записывается.
Кроме того, в этот момент никаких дополнительных исследований тропонинов не выполняли. Это также неприемлемо, необъяснимо и, к сожалению, я считаю (без убедительных доказательств) обычное явление во многих лечебных учреждениях. Сегодняшние реалии таковы, что мы пытаемся выявить даже преходящие окклюзии и немедленно берем пациента на экстренную ангиографию, потому что в утвержденной лечебной практике нет надежных критериев мониторирования реокклюзии, учитывая стандартные диагностические подходы и стандартные навыки интерпретации ЭКГ.
В идеале, у пациентов с риском рецидива ишемии должен проводиться непрерывный мониторинг сегмента ST в 12 отведениях.
Продолжение
Боль у него, по всей видимости, разрешилась спонтанно, а позднее этим же утром ему выполнили стресс-тест с регаденоном/сестамиби/однофотонная эмиссионная компьютерная томография, который выявил «большой дефект перфузии, включающий верхушку, задне-верхушечный, передневерхушечный, верхушечно-пергородочный и средний передний сегменты». Также было сказано, что при стресс-тесте не наблюдалось никаких изменений на ЭКГ.Результат этого теста подтверждает, что у этого пациента имеется ишемия миокарда в зоне кровоснабжения ПМЖВ и имеется огромная площадь высокого риска инфаркта, развивающегося инфаркта или уже инфаркта. Это само по себе должно было сподвигнуть выполнить экстренную ангиограмму.
Кажется, что результат стресс-теста заставил команду кардиологов запланировать ангиограмму на следующий день (непонятно, почему они решили не выполнять немедленную ангиографию).
День 1, 22:30. В отчете дежурного врача сказано, что у пациента была «периодическая боль в груди, начиная с 22:30 после того, как он немного подвигался, чтобы поднять изголовье кровати». Последние показатели до появления рецидивирующей боли в грудной клетке были такими: ЧСС 84 и АД 146/72, а повторно во время боли в груди - ЧСС 145 и АД 200/102.
Был взят еще один тропонин, и немедленно была записана ЭКГ:
ЭКГ в во время рецидива боли. День 1. Время 37 часов после поступления. 5 минут после рецидива боли.
Синусовая тахикардия. Имеются однозначное доказательство передне-перегородочного ИМО, включающие элевацию ST в V2-V3 и aVL, реципрокную депрессию ST в III и aVF, уменьшение зубцов R и амплитуды QRS в V2-V4 и острейшие коронарные T в V2-V4, а также I и aVL. Суммируя все эти изменения в одном визуальном описании, происходит диагностическое увеличение отношения площади под кривой ST-T (увеличение) к комплексу QRS (уменьшение).
Доктор Смит часто говорит, что тахикардия должна заставлять вас сомневаться в ИМО (если у пациента нет кардиогенного шока). Этот случай НЕ является исключением из этого правила, даже если у пациента повышенное артериальное давление. У пациента, у которого нет достаточного ударного объема (в этом случае из-за массивного ишемического гипокинеза стенки), единственный способ сохранить сердечный выброс - восполнить посредством с увеличения частоты сердечных сокращений. Состояние этого пациента должно расцениваться как кардиогенный шок. За это время нет никаких данных о проведенном прикроватном УЗИ, нет записей, фиксирующих состояние периферической перфузии или признаков острого отека легких. У пациента - кардиогенный шок.Передняя стенка полностью осталась без кровоснабжения и развивается инфаркт!
Но ишемия осталась незамеченной, по-видимому, потому, что изменения не соответствуют критериям ИМпST.
Тропонин Т в 22:30 оказался неопределяемым.
Похоже, что врачи связывали боль в груди в течение следующих нескольких часов с его повышенным АД и ЧСС (ЧСС 120-130 и АД 170-190/75-90).
Боль у пациента сохранялась, и была записана еще одна ЭКГ:
День 1. 37,5 часов после поступления. 35 минут от рецидива боли.
Очевидный передне-перегородочнный ИМО (но все еще не соответствует критериям ИМпST), с массивными острейшими T в V2-V4, I и aVL и V2. ЧСС в данное время составляет менее 100.
Всю ночь он получал нитроглицерин несколько раз с некоторым кратковременным улучшением, но в целом его боль сохранялась. Примерно в 4:20 утра его боль усилилась с иррадиацией в левую руку, и была записана очередная ЭКГ:
День 2. 43 часа после поступления. 6 часов после рецидива боли.
Фанфары!!! Приз в студию!!! Картина достаточно очевидна и соответствует критериям ИМпST.
Повторный тропонин Т в это время был уже 0,13 нг/мл (слегка повышен). И наконец, в 4:45 (~ 6.5 часов после первой диагностической ЭКГ) пациент был взят на ангиографию.
Изображения, полученные во время ангиографии, показаны ниже:
Правая - без стенозов
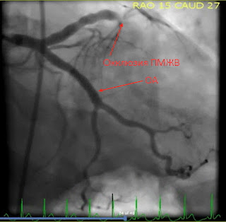
Первый взгляд на левую главную КА и ее ветви. Что Вы видите?
Нормальная левая главная КА. Огибающая - без препятствий для кровотока, ПМЖВ в верхней части изображения практически полностью закрыта (стрелка).
Интервенционалист описал это следующим образом: «99% тромботический стеноз» с «кровотоком TIMI-1», однако вы можете сами убедиться, что дистальнее окклюзии - кровотока НЕТ. Это полная окклюзия, и для того, чтобы вызвать немедленное развитие трансмуральнного инфаркта совсем не требуется 100% прекращение кровотока в виде TIMI-0.
В этой проекции ПМЖВ на изображении теперь находится ниже ОА. Для подготовки к вмешательству проводник расположен проксимальнее окклюзии.
После раскрытия стента начинается реперфузия дистальных сегментов ПМЖВ.
По заключению интервенционалиста был восстановлен кровоток TIMI-3.
После вмешательства восстановился кровоток TIMI-3 и боль у пациента стихла.
Повторная ЭКГ после вмешательства:
День 2. Время 45 часов после поступления. 1,5 часа после вмешательства.
Имеется новая БЛНПГ, которая является весьма распространенным явлением при проксимальных окклюзиях ПМЖВ. Однако, несколько необычно развитие блокады после ЧКВ, если только нет явления No-Reflow (при котором имеется диффузная окклюзия артериол ниже пораженного участка несмотря на хорошо проходимую эпикардиальную артерию на ангиограмме). Имеется стойкая элевация ST с нижней реципрокной депрессией ST, однако, в некоторых отведениях, включая V2, имеется терминальная инверсия зубцов T, предполагающая реперфузию. Я не был бы полностью уверен в эффективности реперфузионной терапии на основе только этой ЭКГ, однако разрешение боли в груди было весьма полезным.
Еще одна ЭКГ в этот же день:
День 2. Время 50 часов после поступления. 6,5 часов после рецидива боли.
Взгляните на нашу диаграмму развития ИМО ниже и сравните ЭКГ этого случая с этой прогрессией, чтобы закрепить ваши знания о динамике переднего ИМО, приводящего к морфологии аневризмы ЛЖ!
В течение следующих 10 часов после лечения тропонин Т достиг максимума 4,67 нг/мл (большой ИМ).
Повторное эхо показало большой передний и апикальный дискинез и ФВ 45%.
Вот его повторная ЭКГ через месяц:
Большой завершившийся передний инфаркт.
Давайте повторим некоторые из ряда вопросов по данному случаю:
1) Когда у пациента произошел рецидив симптомов, не была записана ЭКГ и не проверен тропонин.
2) Команда проигнорировала аномальные результаты стресс-теста.
3) Когда они, наконец, записали повторные ЭКГ во время повторенния симптомов, находки были диагностическими для ИМО, но не соответствовали критериям ИМпST. Это привело к задержке лечения острой коронарной окклюзии по меньшей мере в 6,5 часов.
Баллы обучения:
1) Современный тропонин Т (и, вероятно, многие другие аналогичные анализы) не станут положительными, по крайней мере до 4-6 часов после наступления острой коронарной окклюзии. И наоборот, повышенный тропонин не отличает ИМО от другой патологии. Тропонин не должен играть никакой роли в диагностике ИМО до тех пор, пока (первое) вы не сможете развить интерпретацию ЭКГ и (второе) вы не хотите, чтобы пациент лежал в в вашей палате с давящей болью в груди и полностью «закрытой» ПМЖВ в течение 6 часов без вмешательства.2) Этот случай является прекрасным примером того, что нестабильная стенокардия жива и «здорова». У пациента с симптомами и тромбом в ПМЖВ было 4 исходных неопределяемых анализа на тропонины. Это нестабильная стенокардия, которая прогрессировала до завершившегося переднего трансмурального ИМ и, вероятно, с серьезными долгосрочными последствиями. Думать, что нестабильная стенокардия ушла в прошлое - это МИФ.
Из-за таких случаев и обширной литературной базы мы представили реквием по парадигме ИМпST/ ИМбпST, а не реквием по нестабильной стенокардии. Подробнее см. Манифест ИМО: Манифест доктора Смита.
Или полный текст в pdf: здесь.
3) Критерии ИМпST часто пропускают ИМО, и во многих случаях, таких как этот, задержка до появления положительных критериев ИМпST приводит к недопустимой задержке вмешательства, в течение которой вся вовлеченная в ишемию стенка ЛЖ может быть навсегда потеряна. Единственный способ последовательно идентифицировать ИМО как можно быстрее - научиться экспертной интерпретации ЭКГ.
4) ЭКГ подтверждает реперфузию более точно, чем кровоток TIMI на ангиограмме. (TIMI-критерий перфузии миокарда или «румянец» - ангиографический критерий микрососудистой перфузии, который достаточно тесно коррелирует с показателями реперфузии на ЭКГ).
5) В будущем, чтобы предотвратить ложноположительную диагностику и ложноотрицательные ангиографии для таких пациентов Вы должны быть хорошо знакомы с прогрессированием ИМО и особенностями морфологии аневризмы ЛЖ.
Примечание АЛЦ
В данном случае анамнез имеет важнейшее значение: у достаточно молодого пациента уже имеется документированная (!!!) ИБС, у него в течение предшествующих 2 дней были эпизоды весьма интенсивных загрудинных болей и, наконец, по поводу рецидива боли в груди он и обратился!В контексте таких тревожных событий ИЗБЕГАЙТЕ с ходу интерпретировать ЭКГ при поступлении как «нормальную»!
Вернемся еще раз к ЭКГ при поступлении:
Обратите внимание на отведение aVL! Не кажется ли Вам, мои читатели, что зубцы Т по крайней мере в 3-х отведениях (у пациента с рецидивирующей болью в груди) выглядят НЕ НОРМАЛЬНО?
Это aVL, V2 и V3.
В отведении aVL сегмент ST выпрямлен (частый ЭКГ признак окклюзии), а зубец Т практически достигает по амплитуде небольшой (но помните про правило пропорциональности) комплекс QRS. К тому же, Т aVL выглядит для меня достаточно массивным.
И-за смещения изолинии, трудно сказать, какой из 2-х QRS в V2 и V3 «настоящий», однако присмотритесь: в обоих этих отведениях Т выше, чем крошечные R, к тому же - сегмент ST имеет неотчетливую горизонтальную часть.
Конечно, Вы сможете возразить - что это полная ерунда, такое мы видим на каждой 2-й ЭКГ, НО! Это пациент с крайне подозрительными рецидивирующими болями в груди!
Мы оцениваем ЭКГ только в контексте анамнез пациента и, в данном случае, этот контекст изрядно настораживает.
В этой ситуации, необходимо было записать следующую ЭКГ через 20-30 минут!!!
Хочу подчеркнуть, что у пациентов с коронарной патологией, у которых имеются динамические симптомы - наличие соответствующей (это важно!) динамики на ЭКГ решает диагностику в пользу острой ишемии. Обычно этого достаточно для направления пациента на аннгиографию, независимо от того, существуют или нет критерии «ИМпST».
Первое. ЭКГ в День № 1 в 06:50, при возникновении у пациента рецидивирующей «изжоги» не была записана. Это даже не ошибка, это уже на грани преступления. Дело в том, что любое изменение симптомов у пациента с известным заболеванием коронарных артерий, которое принимается за боль в груди, должно ТРЕБОВАТЬ регистрацию повторной ЭКГ. Не в динамике утром! А в момент рецидива симптомов! Это то, что Вы должны буквально «вбивать» в голову всем заинтересованным специалистам! А медицинские сестры, записывающие ЭКГ коронарным больным, в обязательном порядке на ЭКГ должны фиксировать рядом с датой и фамилией ЖАЛОБЫ ПАЦИЕНТА В МОМЕНТ РЕГИСТРАЦИИ ЭКГ (как и точное время, как и, впрочем, и отсутствие жалоб). Это не делается вообще НИГДЕ! Но это - критическое требование.
Второе - дальнейшая динамика ЭКГ СПЕЦИФИЧНА и драматична. Я вообще крайне удивлен идеей выполнить такому пациенту стресс-тест (сродни диагностическому субботнику). Диагноз на момент назначения стресс-теста был АБСОЛЮТНО ЯСЕН (ранее, как Вы помните, была выполнена ангиография с недвусмысленными результатами).
Идем далее, бог с ним, со стресс-тестом. Уже при регистрации 2-й ЭКГ должна была взреветь СИРЕНА - динамика ЭКГ однозначно указывает на коронарную окклюзию. Такое я иногда встречаю на велоэргометрии, но, к великому сожалению, критерии ВЭМ пробы также находятся в далеких 50-х и такие находки (как и при холтере) не описаны толком и адекватно не интерпретируются, а большинство специалистов с упорством маньяка ищут какую-нибудь депрессию.
Наболело! Депрессия ST при ВЭМ возможна при распространенном атеросклерозе и диффузных, практически 3-х сосудистых поражениях, однососудистые поражения ЭКГ при стресс-тестах в упор не видят, или же видят в зоне недостоверности (при ЧСС более 135-140 в мин), или же как на ЭКГ №2 у нашего пациента. Книги по Холтеру и ИБС набиты всякой малонаучной дрянью, опять таки, относительно актуальной для пациентов с многососудистыми поражениями. Врачи просто не имеют современных навыков диагностике ишемии.
ЧТО В ИТОГЕ? Искать привидение непросто! Особенно, если Вы не знаете, как оно должно выглядеть! Но мы-то знаем, или вскоре узнаем... Это одна из причин, по которой я всегда стараюсь оценить случай (и связанные с ним ЭКГ), прежде чем прочитать сопроводительный текст. Вы можете упрекнуть меня что легко давать советы из-за компьютера. Но я учусь и уже многое знаю. И хочу донести это знание и Вам. Всегда важно учиться на ошибках с целью более оптимальной работы в следующий раз.
Мы все учимся все время ...
PS. Говорят, что только идиоты учатся на своих ошибках, умные же - учатся на чужих! Означает ли это, что умные учатся у идиотов?

















Комментариев нет:
Отправить комментарий