Задне-нижний ИМпST, спонтанная реперфузия и некоторые интересные находки на ЭКГ
Мужчина около 55 лет примерно за сутки до поступления почувствовал сжимающую боль в груди, которая "прошла" самостоятельно. Утром, около 9:00 сжимающая боль возникла вновь и сохранялись примерно 30-35 минут, после чего стала ослабевать. Где-то через полчаса пациент "своим ходом" отправился в поликлинику к врачу, где ему записали следующую ЭКГ:
Амбулаторная ЭКГ пациента (t=1 ч 35 мин - от начала симптомов)
- Имеется элевация ST около 3 мм в III и aVF, и около 2 мм в II.
- Имеется высокий массивный T в II, III, aVF.
- Имеется QS и фрагментация QRS в III, q в II И aVF.
- Имеется реципрокная депрессия ST и инверсия Т в aVL>I.
- Имеется реципрокная депрессия ST V1-V6 с максимумом в V3, Т V2-V6 по типу -/+.
- Депрессия ST V1<V2.
- Нетипичная для ИМ без ОЛЖН тахикардия.
Данная ЭКГ патогномонична острому нижнему, заднему ИМпST, возможно и ИМПЖ.
Боль у пациента то стихала, то вновь усиливалась. Пациенту была вызвана "скорая" и он был доставлен в клинику. ЭКГ при поступлении:
ЭКГ при поступлении (t=2 ч).
- Имеется отчетливая положительная динамика в виде снижения элевации ST III, II, aVF, значительного уменьшения реципрокной депрессии ST I, aVL, V2-V6. Фактичеки, незначительная депрессия ST в точке J осталась в V2-V5.
- Т в прекардиальных отведениях высокие, симметричные.
- В III определяется минимальный зубец r, q II, aVF разрешились.
- Наоборот, минимальный q появился в aVL.
Дополнительные отведения
- Обратите внимание, в правых отведениях элевации ST нет, из группы задних отведений, минимальная элевация ST видна только в V9.
- Имеется небольшой зубец q, шириной около 0,03 с.
При поступлении боль отсутствовала, на ЭКГ в стандартных отведениях - явные признаки спонтанной реперфузии нижней стенки, а в прекардиальных отведениях уже сформировались высокие +Т задней реперфузии.
Пациент без промедления был взят на ангиографию, где в ПКА был выявлен стеноз в с/3 98% с пристеночными наложениями, далее в с/3 стеноз 20%, на границе с/3-д/3 стеноз 25%, кровоток по артерии TIMI3 (с учетом анамнеза не исключена спонтанная или медикаментозная реперфузия - прим. интервенционалиста). В область пораженного участка был имплантирован стент 3,5 мм.
Комментарий кардиохирурга Дмитрия Сергеевича Рожкова:
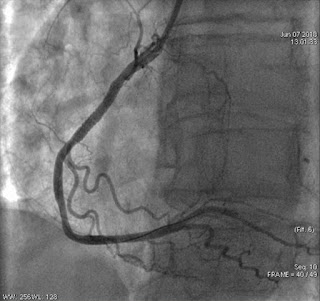
Правая коронарная артерия
Хорошо виден стеноз и заполнение правой коронарной артерии и ее ветвей ниже него.
Левая коронарная артерия - интактна.
Баллон и стент в просвете артерии в области пораженного участка.
Раскрытие стента
Стент раскрыт и виден в просвете артерии
Контрольная ангиограмма до извлечения интродьюсера.
Получен хороший ангиографический результат.
ПКА после стентирования.
Посмотрите на "портрет" правой коронарной артерии после стентирования: отлично проходимая артерия, кровоток TIMI 3 и TMPG 3. Посмотрите еще раз на ПКА ДО стентирования и попробуйте найти разницу (кроме стента, конечно :).
Чтобы облегчит задачу, я расположил обе ангиграммы бок о бок. ПКА до стентирования - слева, после стентирования - справа.
Зелеными стрелками отмечен стеноз ПКА, желтыми - стент в просвете артерии (если присмотритесь, то он даже виден), красными стрелками отмечены две артерии в зоне стентирования, это - конусные КА, одна из них - более крупная. Обратите внимание - эти артерии имеются ДО стентирования и их НЕТ после!Полный протокол ЧКВ:
Пунктирована лучевая артерия справа, установлен интродьюсер. Выполнена полипроекционная КГ ЛКА и ПКА:
Правый тип коронарного кровоснабжения миокарда.
Аномалия развития коронарных артерий: отхождение ЛКА от тубулярной зоны аорты.
ЛКА:
- Ствол: не изменен.
- ПМЖВ: интактна.
- ДВ: интактна.
- ОА: интактна.
- ВТК1: интактна.
- ВТК2: интактна.
- ЗБВ ОА: интактна.
- Ветвь SA-узла: интактна.
- Конусная ветвь 1: небольшая, интактна.
- Конусная ветвь 2: отходит от пораженного сегмента, неровности контуров в устье.
- ВОК: интактна.
- ЗМЖВ ПКА: интактна.
- ЗБВ ПКА: интактна.
Селективная катетеризация устья ПКА проводниковым катетером. Коронарный проводник проведен в д/3 ПКА. Далее в области пораженного участка выполнена имплантация стента 3,5*20 с последующей постдилятацией стентированного сегмента баллоном.
При контрольной КГ кровоток TIMI3, перфузия миокарда TMPG3. Отмечается прекращение кровотока по конусной ветви, что сопровождалось появлением давящей боли с иррадиацией в шею. Рекомендован контроль ЭКГ для исключения инфаркта миокарда правого желудочка 4а типа.
В настоящее время, наличие ветвей коронарных артерий в зоне окклюзии/стеноза всегда создает определенные риски закрытия этих ветвей во время установки стента. Хочется заметить, что вопреки распространенному мнению, вовлеченные ветви "закрываются" НЕ СТЕНТОМ! При имлантации стента, раздутие баллона и раскрытие стента СМЕЩАЮТ достаточно подвижное ядро атеросклеротической бляшки РАЗДАВЛИВАЯ его на относительно плотном адвентиции. При этом содержимое бляшки смещается в зоны меньшего сопротивления, которыми часто являются устья более мелких коронарных артерий.
Смещение содержимого бляшки и "закрытие" ветви КА при раздувании баллона во время ЧКВ
Иногда могут развиваться даже диссекции мелких коронарных артерий в области устья с развитием окклюзии по типу "клапана".
Вероятность окклюзии мелких ветвей резко возрастает при наличии атеросклеротических бляшек в области устьев мелких ветвей.
Закрытие мелких ветвей - оправданный риск, так как мы спасаем куда большую область миокарда, но часто хирурги полностью игнорируют важность таких окклюзий, считая что спасение большего (это левый желудочек) оправдывает гибель меньшего (части ПЖ).
Возвращаемся к нашему случаю:
Во время стентирования возникла боль в груди с иррадиацией в шею, сохранявшаяся около 20 мин и потребовавшая аналгезии. Сразу после ЧКВ была записана ЭКГ:
ЭКГ после ЧКВ (t=3 ч)
- Элевации ST в II, III, aVF больше нет. Нет патологических Q, нет реципрокной депрессии. В прекардиальных отведениях - зубцы Т задней реперфузии.
- НО!
- Обратите внимание на V1-V2: появилась отчетливая элевация ST в этих отведениях, она более 2 мм!
- Сохраняется тахикардия, согласующаяся, на этот раз, с ИМ ПЖ.
Это - ИМ правого желудочка. Этих изменений ДО ЧКВ не было! Это ИМ 4а типа.
Вот и дополнительные отведения:
Дополнительные отведения.
Обратите внимание на "новую" элевацию ST V3R. Элевация ST в задних отведениях разрешилась, оставив после себя низкие амплитуды QRS и патологические Q.
Изменения ЭКГ в правых прекардиальных отведениях выражены намного больше, чем в "ожидаемых" правых. Конусная ветвь правой коронарной артерии кровоснабжает ПЕРЕДНЕ-ВЕРХНИЕ отделы ПЖ в области выносящего тракта. Эти зоны, как раз и соответствуют отведениям V1-V2 больше чем правым (и более боковым V3R-V5R).
ЭКГ на следующее утро:
ЭКГ на следующее утро.
- Элевация ST V1-V2 почти разрешилась.
- Микроскопическая инверсия терминальной части Т III, свидетельствующая о реперфузии.
Дополнительные отведения:
Дополнительные отведения.
Очень небольшая элевация ST в точке J видна в V3R, в V4R и V5R видны отрицательные Т реперфузии! Возможно, какое-то кровообращение в этих ветвях восстановилось, но мы этого, увы, уже не узнаем.
УЗИ сердца:
- ФВ 64%
- Гипокинез нижних и нижне-перегородочных (базальных, срединных сегментов).
- Гиперкинез передней стенки ЛЖ на фоне тахикардии.
- Выраженная (до III степени) митральная недостаточность - признак митрально-папиллярной дисфункции, обусловленная, вероятно, ишемией папиллярной мышцы.
УЗ-контроль через 3-е суток - без динамики. С подробным разбором УЗИ и механизмом митральной регургитации у нашего пациента Вы можете ознакомиться в блоге Натальи Кривенок (Ишемическая митральная регургитация).
ЭКГ на 7-й день:
ЭКГ через 7 дней.
Потрясающий результат! Попробуйте, не зная о произошедшем, найти на этой ЭКГ убедительные признаки 7-дневного ИМ!
Выводы:
- Закрытие мелких ветвей КА - оправданный риск и ни в коем случае это не ошибка интервенционалистов.
- Да современном этапе развития медицины предвидеть и предотвратить окклюзии мелких ветвей во время манипуляций практически невозможно.
- Даже такие, окклюзии небольших по калибру КА, приводят к значимым и закономерным изменениям на ЭКГ и не должны уйти от взгляда опытного специалиста.
- В данном случае, требуется дальнейшее наблюдение за функцией как ЛЖ и ЛП, так и ПЖ.
К сожалению, литературы по данному вопросу крайне мало, и, особенно по вторичным ЭКГ проявлениям таких интраоперационных окклюзий.














Комментариев нет:
Отправить комментарий